Real Patients, Real Results
Browse our gallery of smile transformations to see the life-changing results we've achieved for patients just like you.

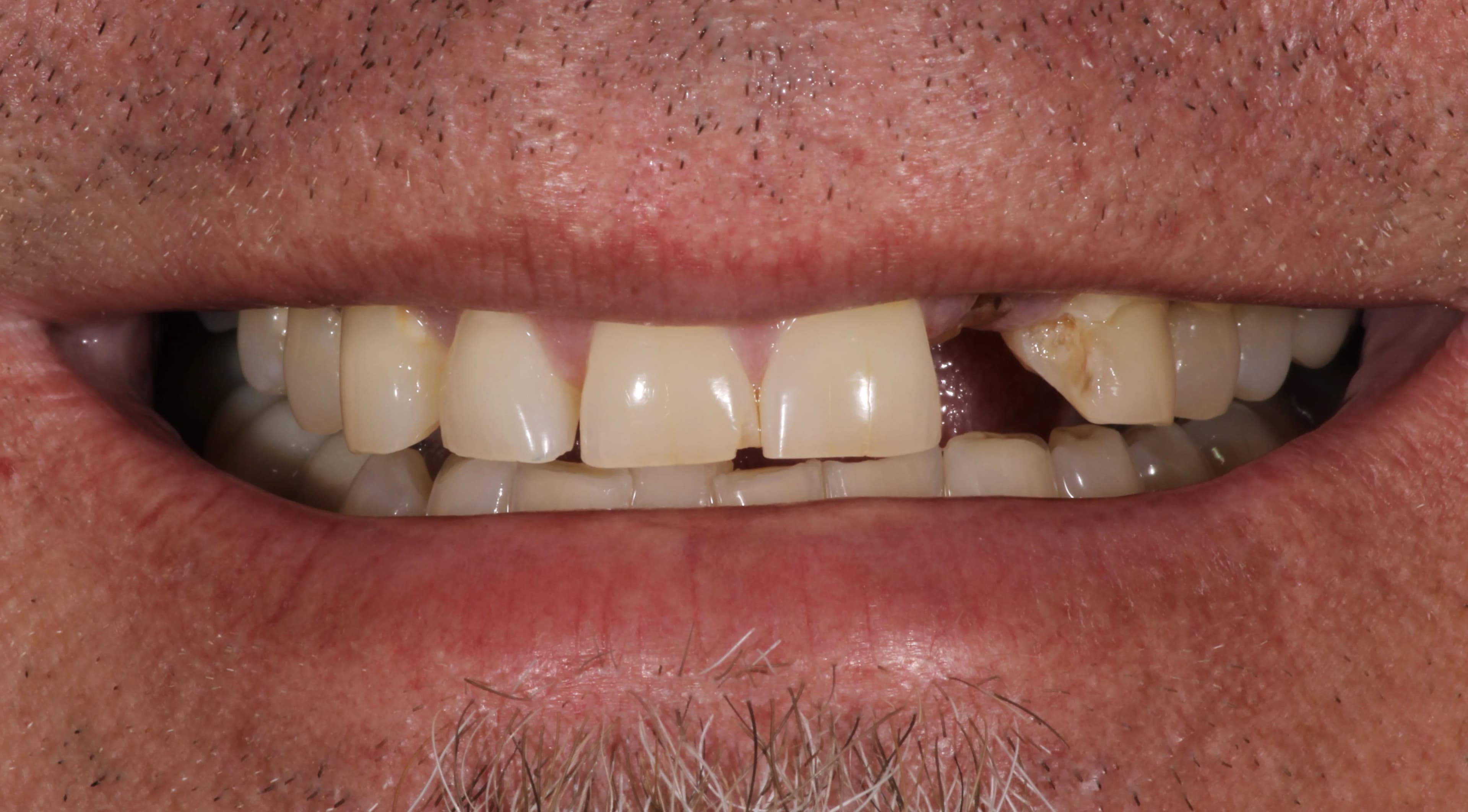
Before

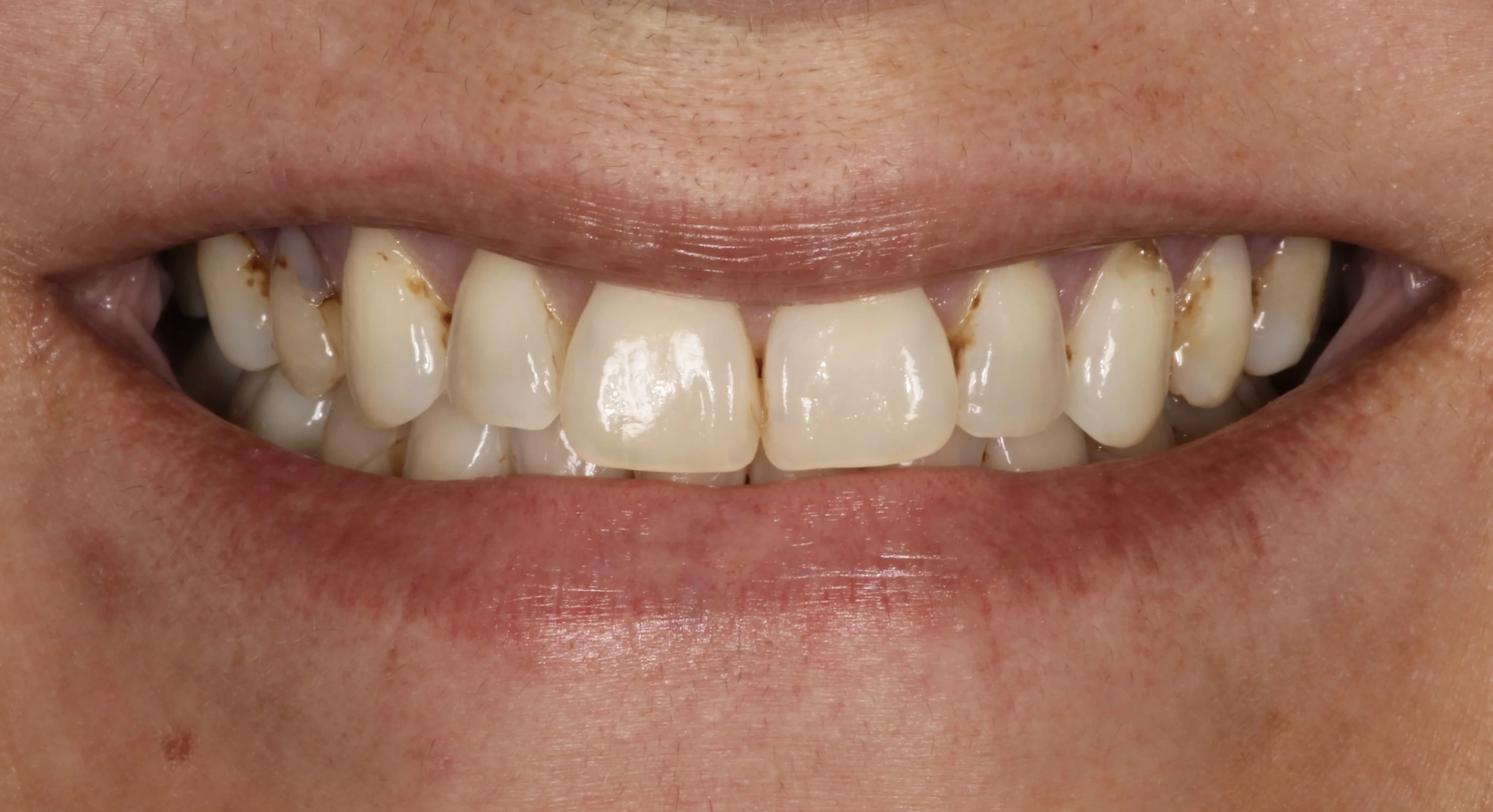
After

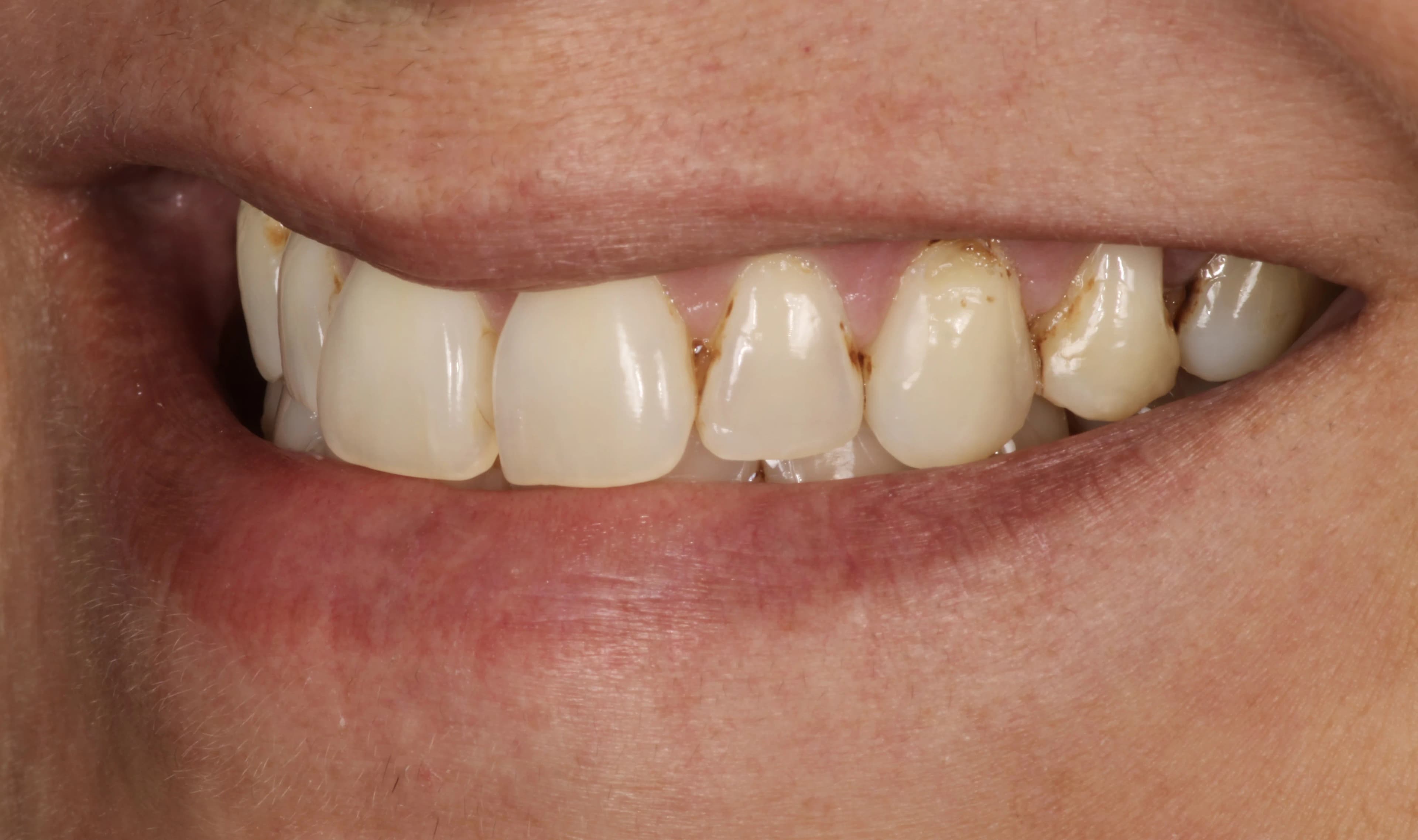
Before

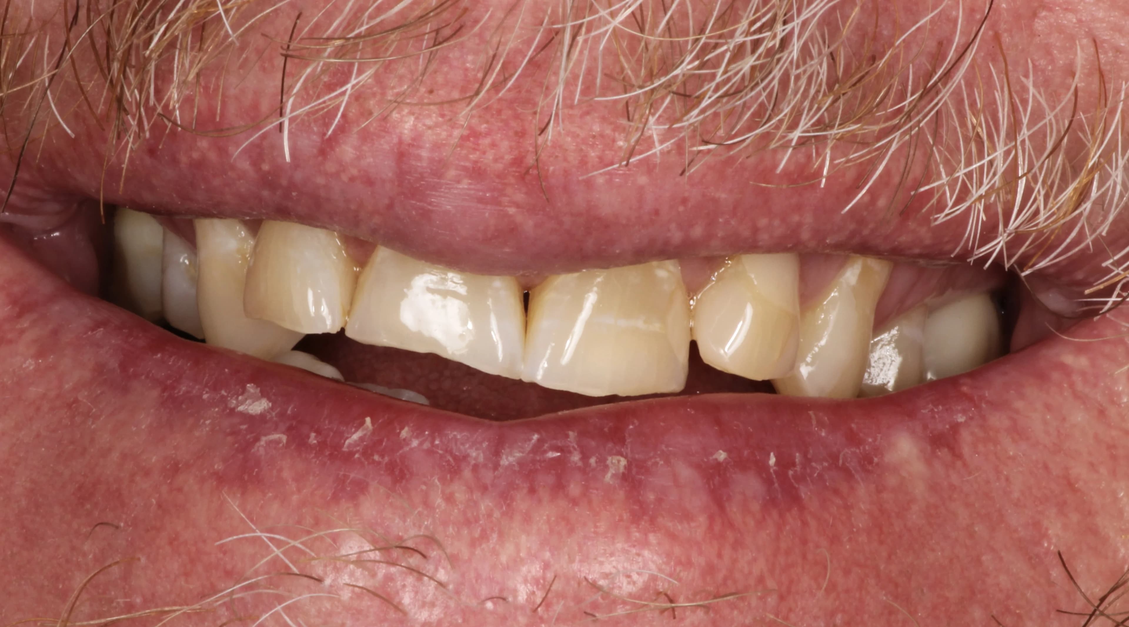
After

Before

After

Before

After

Before

After

Before

After

Before

After

Before

After

Before

After
Ready for Your Smile Transformation?
Let's create a smile you'll love to show off. Schedule your consultation today!